Orthodontiste à VELIZY - Dr Geneviève GALLE-DUBECQ
Cabinet d'orthodontie
19 rue Grange Dame Rose, 78140 VELIZY
+33 1 39 46 00 23
Orthodontiste à VELIZY - Dr Geneviève GALLE-DUBECQ
Cabinet d'orthodontie

CAS CLINIQUES

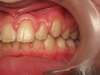
Neyla

Avant

Après

Nelya_Intra-orale Face (Début)_17-04-2014
Nelya_Intra-orale Face (Fin)_17-07-2019

Emilie

Avant/Après

Avant/Après

Emilie(enfant)_Intra-orale Face (Début)_12-01-2009
Emilie(enfant)_Intra-orale Droit (Fin)_18-01-2012
Emilie(enfant)_Intra-orale Gauche (Début)_12-01-2009
Emilie(enfant)_Intra-orale Gauche (Fin)_18-01-2012
Emilie(enfant)_Intra-orale Face (Début)_12-01-2009
Emilie(enfantIntra-orale Face (Fin)_18-01-2012

Etienne

Avant/Après

Avant/Après

Keo

Avant/Après

Avant/Après

Keo(enfant)_Intra-orale Droit (Début)_07-12-2015
Keo(enfant)_Intra-orale Droit (Fin)_01-12-2020
Keo(enfant)_Intra-orale Gauche (Début)_07-12-2015
Keo(enfant)_Intra-orale Gauche (Fin)_01-12-2020
Keo(enfant)_Intra-orale Face (Début)_07-12-2015
Keo(enfant)_Intra-orale Face (Fin)_01-12-2020

Laure

Avant/Après

Avant/Après

coté droite
droite
gauche
gauche
face/avant
face

Pauline

Avant/Après

Avant/Après

droite/avant
droite/apres
gauche/avant
gauche/apres
face/avant
face/apres

Mathilde

Avant/Après

Avant/Après

Mathilde(enfant_Intra-orale Droit (Début)_04-04-2016
Mathilde(enfant_Intra-orale Droit (Fin)_14-04-2021
Mathilde(enfant_Intra-orale Gauche (Début)_04-04-2016
Mathilde(enfant_Intra-orale Gauche (Fin)_14-04-2021
Mathilde(enfant_Intra-orale Face (Début)_04-04-2016
Mathilde(enfant_Intra-orale Face (Fin)_14-04-2021

Création par Webdentiste

Connexion